新闻动态 新闻动态 >> 会议新闻 >> 首页 当前位置:
发布人:美国氩氦刀技术官方网站 发布时间:2018/8/6 13:46:04
上一篇:煤炭总医院氩氦刀冷冻消融治疗双肺转移病灶
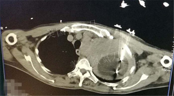
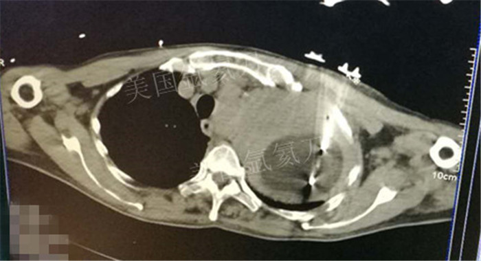
下一篇:氩氦冷冻治疗最大径8.2肿瘤,冰球最大径7.9