美国氩氦刀技术官方网站

公告:

会议新闻

新闻动态 新闻动态 >> 会议新闻 >> 首页 当前位置:

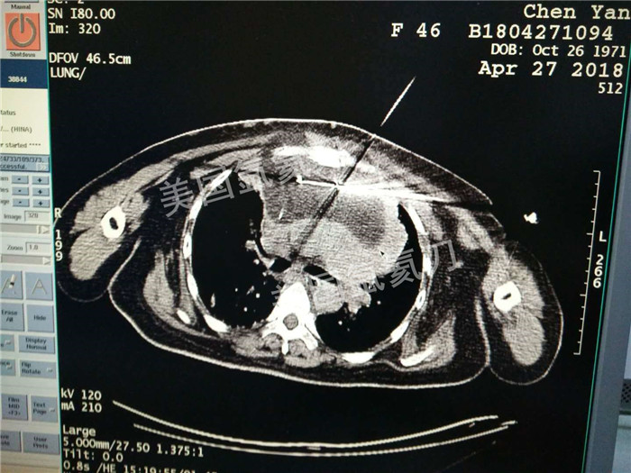
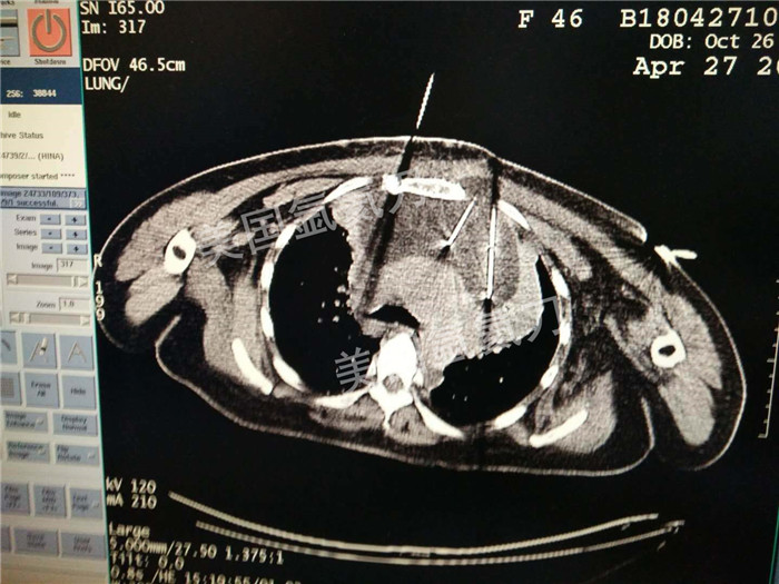
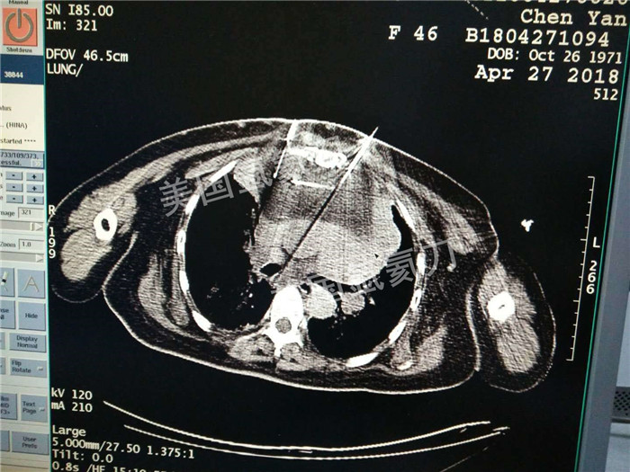
河北省中医院肿瘤科王利民主任胸腺19公分肿瘤氩氦刀手术

发布人:美国氩氦刀技术官方网站    发布时间:2018/5/8 10:27:15

图片版权归美国氩氦刀所有,仅用于美国氩氦刀的宣传交流